Letaglózta a fiatal lányt a rákdiagnózis: egy év múlva hihetetlen dolgot fedeztek fel az orvosok - Videó
2025. 12. 02. 16:30
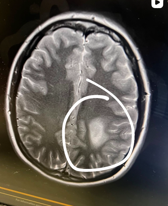
Hetekig ellentmondásos diagnózisokat kapott, míg végül az orvosok „gyógyíthatatlannak” minősítették. De aztán történt valami, amire a 27 éves nő nem is számíthatott.
Az új-zélandi Paige Suisted-t mélyen megdöbbentette, amikor tavaly áprilisban gyógyíthatatlan agydaganatot diagnosztizáltak nála. A körülbelül golflabda méretű elváltozás egy különösen kritikus területen helyezkedett el, és nyomást gyakorolt a teste jobb oldalát irányító idegekre. Mivel a műtét túl kockázatos lett volna, a fiatal nő intenzív kemoterápiás és sugárterápiába kezdett. Paige, aki korábban modellként és ékszerárusítóként dolgozott, elkezdte dokumentálni nehéz mindennapjait a közösségi médiában.

Fotó: Instagram/journey_through_cancer














